Joshua Li
M.D., Ph.D.

I believe healing is a journey built on truth, compassion, and tolerance. Perhaps we were family in another lifetime — today, we take this step toward recovery together.
Li 731x1024

About Me

Vice Chair for Research, Mary M. Stamp Endowed Professor, Department of Orthopaedic Surgery
Director, Orthopaedic Spine Fellowship – University of Virginia

 

I’m a spine surgeon at UVA, dedicated to helping patients restore motion, balance, and quality of life. I specialize in advanced procedures such as cervical disc replacement, laminoplasty, and complex scoliosis reconstruction.
Alongside my clinical work, I lead a research lab focused on improving spine healing and recovery. My goal is simple — to combine science, skill, and compassion to help each person heal and move forward with strength.

 

Advanced Spine Care & Surgical Expertise

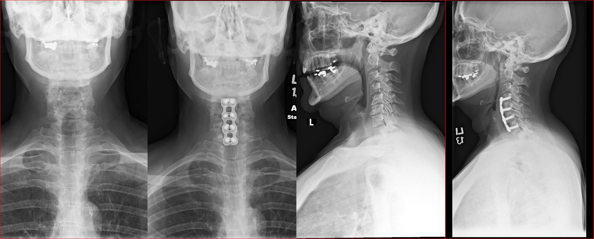
ACDF C4 7
Anterior Cervical Spine Surgery

Cervical Disc replacement

Anterior Fusion

Corepectomy

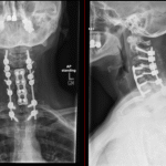
C2 T2 150x150
Posterior Cervical Spine Surgery

Laminoplasty

Posterior Fusion 

settings
Thoracic Spine

Extracavity Corpectomy

Thoracic Disc

Lateral Corpectomy

ACDF C4 7 1024x413
Posterior Lumbar Spine Surgery

Microdiscectomy

ULBD

Traditional Decompression

C2 T2 150x150
Lumbar Fusion

ALIF

OLIF

XLIF 

settings
Deformity Correction

T4-Pelvis

T10-Pelvis

PSO

Working Process

Lorem ipsum dolor sit amet, consectetur adipiscing elit. Ut elit tellus, luctus nec ullamcorper mattis, pulvinar dapibus leo.

Work Experience

Lorem ipsum dolor sit amet, consectetur adipiscing elit.
UI/UX Designer
2015-2018

Lorem ipsum dolor sit amet, consectetur adipiscing elit. Ut elit tellus, luctus nec ullamcorper mattis, pulvinar dapibus leo.

UI/UX Designer
Web Designer
2015-2018

Lorem ipsum dolor sit amet, consectetur adipiscing elit. Ut elit tellus, luctus nec ullamcorper mattis, pulvinar dapibus leo.

Web Designer
Web Developer
2015-2018
Lorem ipsum dolor sit amet, consectetur adipiscing elit. Ut elit tellus, luctus nec ullamcorper mattis, pulvinar dapibus leo.
Web Developer
Graphic Designer
2015-2018
Lorem ipsum dolor sit amet, consectetur adipiscing elit. Ut elit tellus, luctus nec ullamcorper mattis, pulvinar dapibus leo.
Graphic
Marketing
2015-2018
Lorem ipsum dolor sit amet, consectetur adipiscing elit. Ut elit tellus, luctus nec ullamcorper mattis, pulvinar dapibus leo.
Marketing

My Portfolio

Lorem ipsum dolor sit amet, consectetur adipiscing elit.

What My Clients Says

Lorem ipsum dolor sit amet, consectetur adipiscing elit.
male 3

Lorem ipsum dolor sit amet, consectetur adipiscing elit. Ut elit tellus, luctus nec ullamcorper mattis, pulvinar dapibus leo.

John Doe
female 3

Lorem ipsum dolor sit amet, consectetur adipiscing elit. Ut elit tellus, luctus nec ullamcorper mattis, pulvinar dapibus leo.

Jenna Smith
male 1

Lorem ipsum dolor sit amet, consectetur adipiscing elit. Ut elit tellus, luctus nec ullamcorper mattis, pulvinar dapibus leo.

Samuel Stevens

Stay In Touch

Lorem ipsum dolor sit amet, consectetur adipiscing elit. Ut elit tellus, luctus nec ullamcorper mattis, pulvinar dapibus leo.