Anterior Cervical Spine Surgeries

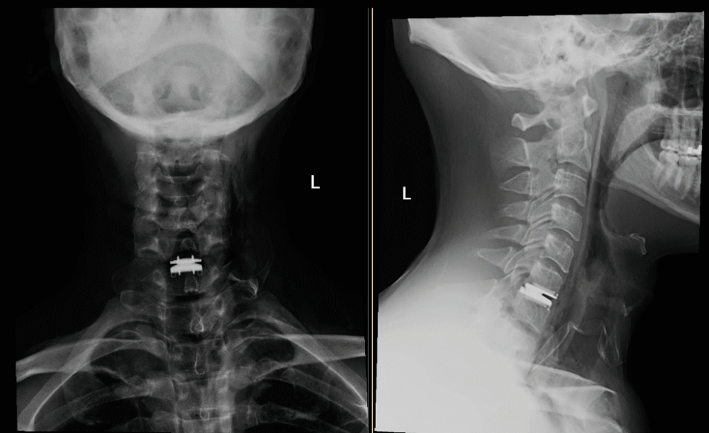
ACDF

Anterior Cervical Discectomy and Fusion

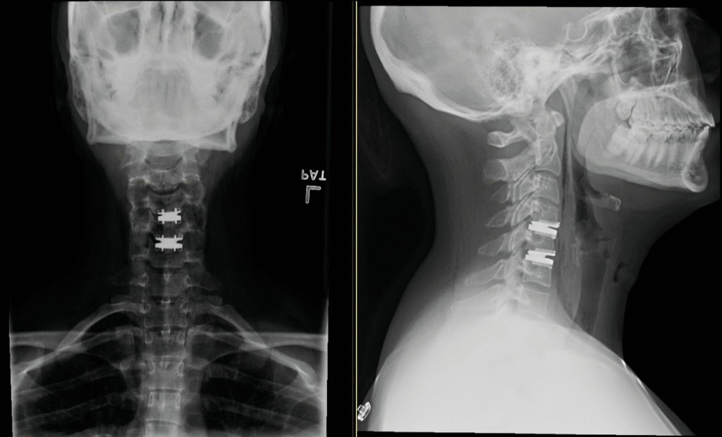
two levels acdf
ACDF C4 7 1024x413

Cervical Disc Replacement

TDR 1024x626
Screen Shot 2017 08 31 At 11.02.09 PM 1024x620

Cervical Corpectomy for Tumor

ACCF Preop 1024x507
ACCF Postop 1024x503

Anterior Cervical Corpectomy and Fusion

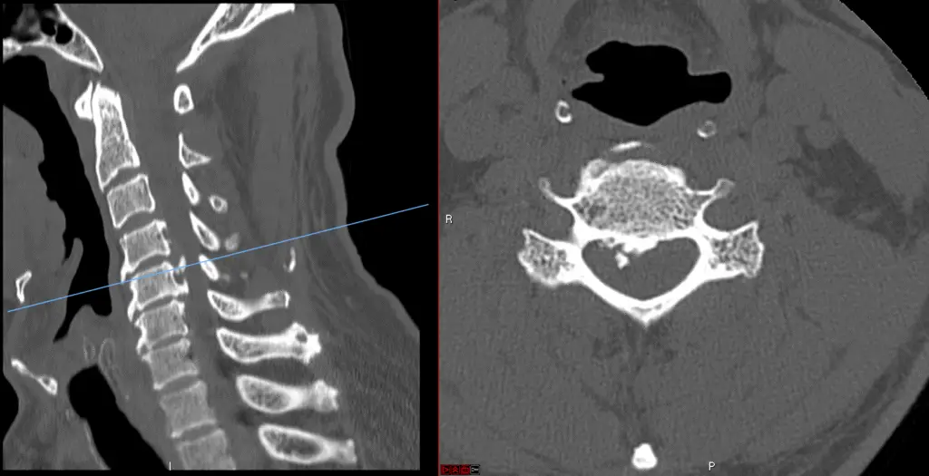
c5 corpectomy ct
c5 corpectomy
anterior cervical c5 corpectomy and fusion

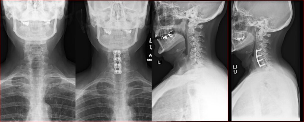
Hybrid Surgery

hybrid