Skip to content
Home
About
Patients’ Feedback
Patients’ Library
Menu Toggle
Normal Images
Surgery
Menu Toggle
ACDF/CDR
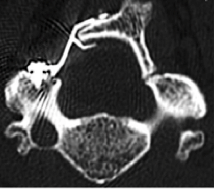
C1-2 fusion
Laminoplasty
Thoracic Corpectomy
ULBD
ALIF
OLIF
TLIF
Deformity
Research
Our Team
Main Menu
About
ALIF
Anterior Cervical Spine Surgeries
C1-2 Fusion
Contact
Customer Cabinet
Deformity
Home
Normal Images
OLIF
Patients Feedback
Patients’ Library
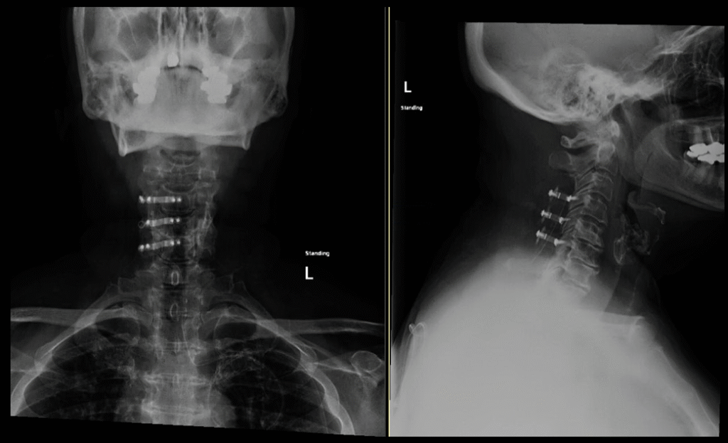
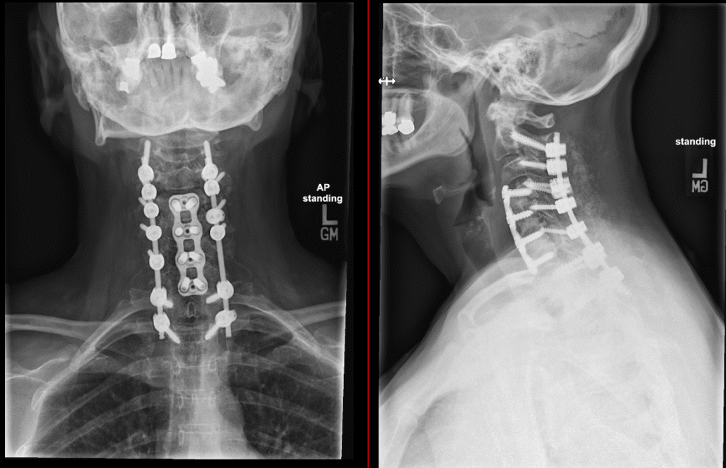
Posterior Cervical Spine Surgeries
Research
Surgery
Thoracic Corpectomy
TLIF
ULBD
Laminoplasty
Posterior Cervical Fusion